Stroke Recognition Guide

Stroke is one of the most serious medical emergencies, occurring when blood supply to part of the brain is interrupted.

Every minute counts: with delay, 1.9 million brain cells die every minute. Stroke is the third leading cause of death worldwide and the leading cause of disability.

What is stroke?

Stroke occurs when blood flow to a brain region is insufficient, depriving it of oxygen and nutrients. There are two main types:

Ischemic stroke

  • 85% of cases

  • Blood clot or embolus blocks cerebral blood vessel
  • Affected brain region becomes oxygen-deprived

Hemorrhagic stroke

  • 15% of cases

  • Results from brain bleeding
  • Associated with higher mortality rates

The "Golden Hour"

Why Time Matters

The first 60 minutes (the “golden hour”) after stroke are critically important

 

  • 28.3% of patients arrive at hospital within the first hour
  • Patients treated in the first hour have 40% greater chance of good outcome
  • 4-6 minutes after onset, irreversible brain damage begins

Ideal hospital timeline

  • 10 minutes: medical evaluation
  • 15-25 minutes: CT scan
  • 45-60 minutes: treatment initiation

The Ischemic Cascade

Stroke damage occurs in multiple phases:

Hyperacute phase

  • 0-12 hours

  • Cell death begins within seconds
  • Cytotoxic edema development
  • ATP depletion

Acute phase

  • 12-24 hours

  • Inflammatory processes
  • Continued cell death
  • Reactive oxygen species release

Subacute phase

  • 2 days – 2 weeks

 

  • Blood-brain barrier disruption
  • Brain edema peaks
  • Mass effect development

Chronic phase

  • 2 weeks –  2 months

  • Scar tissue formation
  • Brain atrophy
  • Functional recovery begins

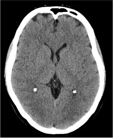
What does a brain CT show in stroke?

Normal brain CT – but symptoms already warn us!

  • This image shows a healthy brain – there are no visible signs of damage.
  • Yet, if someone suddenly develops weakness on one side, has slurred speech or clumsiness, the doctor knows: a stroke may be to blame!
  • In the earliest phase, CT often looks normal, but treatment must start based on symptoms—not just imaging.
  • The only chance is getting to hospital and medical care as quickly as possible.

Brain CT after right-sided vessel blockage

  • Now damage is visible
  • Here, clear areas of irreparable brain injury can be seen on the right side, where the artery was blocked.
  • At this stage, treatment options are lost—the damage is permanent.

Lesson

  • With stroke, waiting for 100% diagnostic certainty is dangerous—at the first signs (sudden movement changes, speech problems, asymmetry), seek emergency help immediately!
  • Quick response can save a life or allow for independent living after stroke.
  • Delaying care may bring a clearer diagnosis, but it also means more severe, irreversible harm.

BE-FAST: Stroke Recognition

B - Balance

  • Sudden loss of balance
  • Coordination problems
  • Unexplained falls

E - Eyes

  • Sudden vision loss in one or both eyes
  • Double vision
  • Blurred vision without pain

F - Face

  • Facial drooping
  • Asymmetric smile
  • Difficulty speaking

A - Arms

  • Unilateral arm weakness
  • Arm “drift” when raised
  • Weak handgrip

S - Speech

  • Slurred speech
  • Incomprehensible speech
  • Difficulty repeating sentences

T - Time

  • CALL EMERGENCY SERVICES IMMEDIATELY!

  • Note the time symptoms began!

Other Stroke Symptoms

  • Numbness/weakness of face, arm, or leg
  • Speech or comprehension difficulties
  • Severe headache with no known cause
  • Walking difficulties, dizziness
  • Vomiting, altered consciousness

Stroke Risk Factors

Non-modifiable factors

  • Age (over 65)
  • Gender (higher risk in men)
  • Family history
  • Previous stroke/TIA

Hypertension

  • Greatest risk factor
  • Target <130/80 mmHg in diabetics
  • Treatment reduces stroke risk by 25%

Diabetes mellitus

  • Double stroke risk
  • Prediabetes also increases risk
  • Every 2 minutes, a diabetic is hospitalized for stroke

Other factors

  • Smoking, alcohol
  • High cholesterol
  • Cardiac arrhythmias (atrial fibrillation)
  • Obesity, sedentary lifestyle

What to do if stroke is suspected?

Immediately

  1. Call emergency services
  2. Note the time symptoms began
  3. Don’t give food/drink to patient
  4. Ensure breathing

    Never

    • Wait for symptoms to “pass”
    • Give medication
    • Drive to hospital yourself

    Prevention

    Primary prevention

    • Regular blood pressure monitoring
    • Diabetes management
    • Smoking cessation
    • Regular exercise
    • Healthy diet

    Secondary prevention

    • Specialist follow-up
    • Medication compliance
    • Rehabilitation
    • Lifestyle changes

    Prognosis and Outcomes

    Benefits of early treatment

    • Treatment within 60 minutes: excellent results
    • All patients discharged with NIHSS score 0 (symptom-free)
    • 0% risk of brain hemorrhage
    • Hospital mortality only 2.7%

    Consequences of delayed treatment

    • 25% higher mortality
    • Permanent disability
    • Speech and movement disorders
    • Self-care problems

    Key Takeaways

    🚨 Remember BE-FAST
    ⏰ Time is brain – act immediately
    📞 Call emergency services first
    🏥 Every minute delays increases damage
    💊 Early treatment saves lives and prevents disability

     

    Take home message

    • Recognize stroke symptoms in time, such as movement asymmetry
    • Take part in the development of an innovative stroke detection system
    Download SalusmoClinical Study